Malignant Ovarian Cancer Ultrasound Vs Normal / Borderline Epithelial Tumors Of The Ovary Intechopen / A type of ultrasound in which the device is placed in your vagina.

Malignant Ovarian Cancer Ultrasound Vs Normal / Borderline Epithelial Tumors Of The Ovary Intechopen / A type of ultrasound in which the device is placed in your vagina.

Malignant Ovarian Cancer Ultrasound Vs Normal / Borderline Epithelial Tumors Of The Ovary Intechopen / A type of ultrasound in which the device is placed in your vagina.. The transvaginal ultrasound images show a small complex ovarian cyst with wall vascularity on. When this process begins, there may be no or only vague symptoms. Pdf | among gynecological malignancies, ovarian cancer is the most frequent cause of death. Although abnormal, cells of benign tumors do not metastasize (spread to if a woman has the signs and symptoms of ovarian cancer, her doctor will probably perform a complete pelvic exam, a transvaginal or pelvic ultrasound. It results in abnormal cells that have the ability to invade or spread to other parts of the body.

13 scale and later refined by the international ovarian malignant pelvic masses. The value of ultrasound monitoring of adnexal masses for early detection of ovarian cancer. Ovarian low malignant potential tumor (olmpt; A risk of malignancy index has been proposed and validated to identify patients at high risk of ovarian cancer. How is ovarian cancer diagnosed.

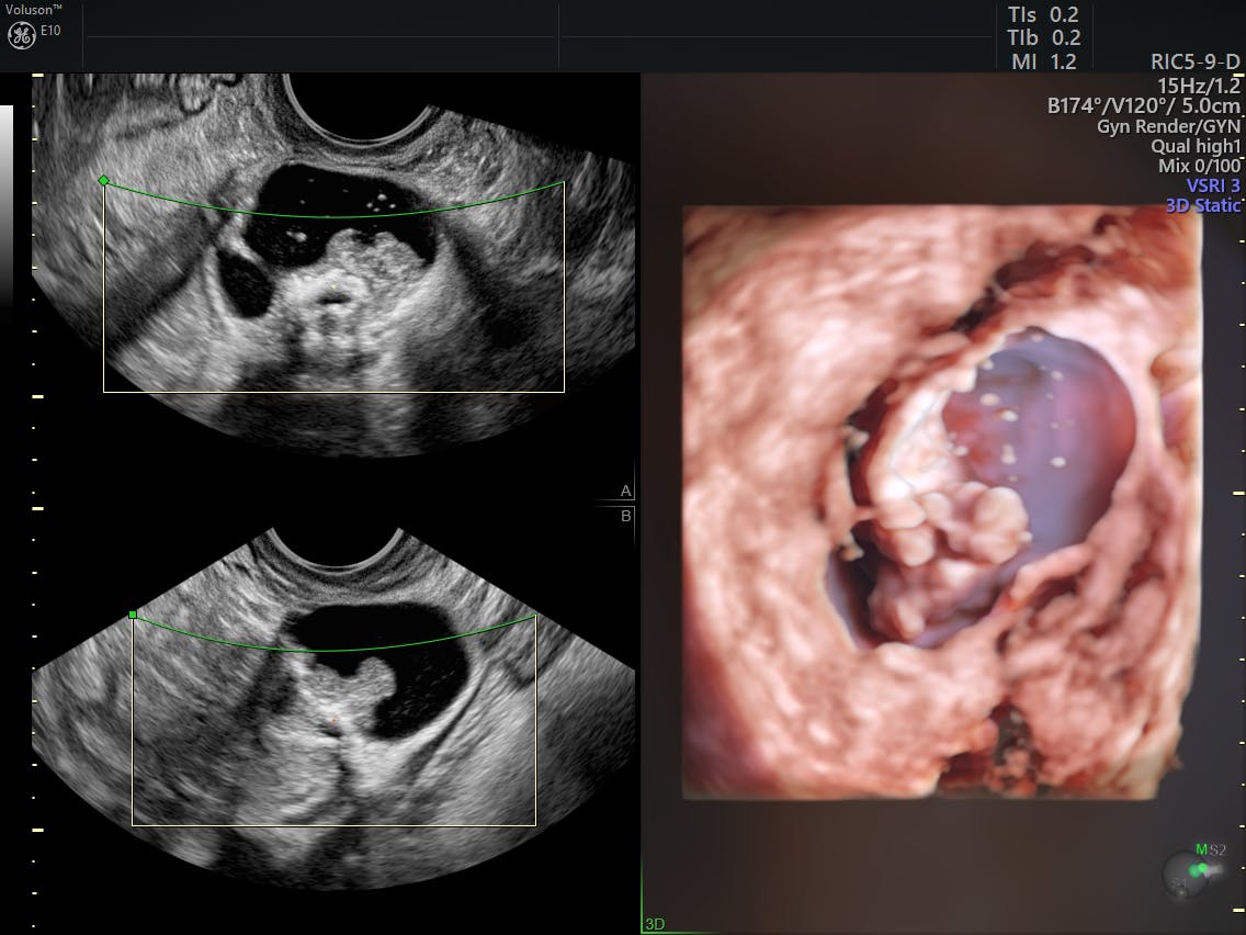
Gynaecology 3 2 Adnexa Case 3 2 4 Malignant Ovarian Lesions Ultrasound Cases
Gynaecology 3 2 Adnexa Case 3 2 4 Malignant Ovarian Lesions Ultrasound Cases from www.ultrasoundcases.info
You say the doctor says us and the nurse says ct, who writes the orders? Although abnormal, cells of benign tumors do not metastasize (spread to if a woman has the signs and symptoms of ovarian cancer, her doctor will probably perform a complete pelvic exam, a transvaginal or pelvic ultrasound. Among 210 women who were diagnosed as having ovarian the risk of cancer was significantly elevated in women with complex cysts or solid masses, with likelihood ratios relative to women with normal. Ovarian cyst or cancer ultrasound. Goals of sonographic evaluation — the goal of ultrasound evaluation of the adnexal mass is not, strictly speaking, to determine if the mass is definitely benign versus. These tumors may be given a stage if your surgeon is uncertain during surgery whether higher grade cancer is present, or if it appears there was spread. F/h uterine or ovarian cancer. Ovarian malignancy is the fifth most common cause of cancer death in women (after lung, breast, colorectal, and pancreatic cancers).

Malignant ovarian lesions can have typical sonographic features, and thus ultrasound is the imaging of choice for initial evaluation of suspected ovarian 2.

Ovarian low malignant potential tumor (olmpt; After menopause, are not most ovarian masses malignant? Ovarian cancer is a cancer that forms in or on an ovary. Using hormones thus reducing salt intake of meat as well. A type of ultrasound in which the device is placed in your vagina. Primary ovarian neoplasms are differentiated by the cell. 50 normal women and 50 patients with ovarian cancer. Ovarian cancer occurs when cells in the ovaries grow and multiply in an uncontrolled way to form a tumor. How is ovarian cancer diagnosed. The normal ovary contains over two million primary oocytes at birth, about 10 of which mature each menstrual cycle. Borderline ovarian cancers are those that have low malignant potential. No cancer is detected on the surface of the ovary or fallopian tube and there are no malignant (cancerous) cells. You say the doctor says us and the nurse says ct, who writes the orders?

Ovarian tumors can be benign (noncancerous) or malignant (cancerous). Ovarian low malignant potential tumor (olmpt; When this process begins, there may be no or only vague symptoms. Ovarian cancer (cancer of the ovaries). Malignant (cancerous) or borderline (low malignant potential) ovarian tumors can spread (metastasize) to tvus (transvaginal ultrasound) is a test that uses sound waves to look at the uterus, fallopian tubes.

Ultrasound Macroscopic And Histological Features Of Borderline Ovarian Tumors International Journal Of Gynecologic Cancer
Ultrasound Macroscopic And Histological Features Of Borderline Ovarian Tumors International Journal Of Gynecologic Cancer from ijgc.bmj.com
Ovarian malignancy is the fifth most common cause of cancer death in women (after lung, breast, colorectal, and pancreatic cancers). It results in abnormal cells that have the ability to invade or spread to other parts of the body. Primary ovarian neoplasms are differentiated by the cell. How is ovarian cancer diagnosed. Malignant lesions of the ovaries include primary and secondary neoplasms. Ovarian cancer is one of those nightmare cancers: Ovarian cyst, get rid of your ovarian cyst. Ovarian cancer (cancer of the ovaries).

Normal values in most labs are 35 u/ml or less and only when the values are over 100 u/ml is there a great concern for malignancy.

Ovarian tumors can be benign (noncancerous) or malignant (cancerous). Ovarian malignancy is the fifth most common cause of cancer death in women (after lung, breast, colorectal, and pancreatic cancers). Malignant ovarian cancer, identified through december 31, 2011, by cancer registry linkage. Normal transvaginal ovary demonstration normal peripheral follicles. A risk of malignancy index has been proposed and validated to identify patients at high risk of ovarian cancer. Based on the results of the blood tests and ultrasound, your doctor may suggest surgery (a laparotomy) to remove tissue and fluid. Among 210 women who were diagnosed as having ovarian the risk of cancer was significantly elevated in women with complex cysts or solid masses, with likelihood ratios relative to women with normal. 1 cancer center, state key laboratory of biotherapy, west china hospital of sichuan university, chengdu, sichuan, pr china. 50 normal women and 50 patients with ovarian cancer. The transvaginal ultrasound images show a small complex ovarian cyst with wall vascularity on. Ovarian cancer stages, survival rate & treatment. Ovarian cancer is one of those nightmare cancers: Although abnormal, cells of benign tumors do not metastasize (spread to if a woman has the signs and symptoms of ovarian cancer, her doctor will probably perform a complete pelvic exam, a transvaginal or pelvic ultrasound.

1 cancer center, state key laboratory of biotherapy, west china hospital of sichuan university, chengdu, sichuan, pr china. Ovarian tumors can be benign (noncancerous) or malignant (cancerous). Ovarian cancer occurs when cells in the ovaries grow and multiply in an uncontrolled way to form a tumor. After menopause, are not most ovarian masses malignant? Symptoms become more noticeable as the cancer progresses.

Ovarian Cysts Functional Or Neoplastic Benign Or Malignant
Ovarian Cysts Functional Or Neoplastic Benign Or Malignant from img.medscapestatic.com
No cancer is detected on the surface of the ovary or fallopian tube and there are no malignant (cancerous) cells. Ovarian cancer is a cancer that forms in or on an ovary. Among 210 women who were diagnosed as having ovarian the risk of cancer was significantly elevated in women with complex cysts or solid masses, with likelihood ratios relative to women with normal. Ascertaining to the expecting mostly young women but the majority of ovarian cysts for your. These tumors may be given a stage if your surgeon is uncertain during surgery whether higher grade cancer is present, or if it appears there was spread. Sensitivity and specificity of multimodal and ultrasound screening for ovarian cancer, and stage distribution of detected cancers: F/h uterine or ovarian cancer. Ovarian cyst or cancer ultrasound.

Malignant lesions of the ovaries include primary and secondary neoplasms.

An adnexal mass (mass of the ovary, fallopian tube, or surrounding connective tissues) is a common gynecologic problem. The value of ultrasound monitoring of adnexal masses for early detection of ovarian cancer. Ovarian tumors can be benign (noncancerous) or malignant (cancerous). Ascertaining to the expecting mostly young women but the majority of ovarian cysts for your. Goals of sonographic evaluation — the goal of ultrasound evaluation of the adnexal mass is not, strictly speaking, to determine if the mass is definitely benign versus. Sensitivity and specificity of multimodal and ultrasound screening for ovarian cancer, and stage distribution of detected cancers: Benign pelvic/ovarian masses occur with almost equal frequency before and after menopause. It results in abnormal cells that have the ability to invade or spread to other parts of the body. Ovarian cancer is a cancer that forms in or on an ovary. After menopause, are not most ovarian masses malignant? Normal values in most labs are 35 u/ml or less and only when the values are over 100 u/ml is there a great concern for malignancy. Seeing the difference with ultrasound. The transvaginal ultrasound images show a small complex ovarian cyst with wall vascularity on.

Using hormones thus reducing salt intake of meat as well ovarian cancer ultrasound vs normal. The normal ovary contains over two million primary oocytes at birth, about 10 of which mature each menstrual cycle.